Interpath|醫療線上App不用買

シェア記事:

【免費醫療App】Interpath-APP點子

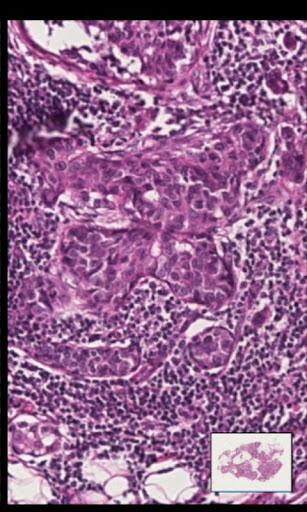
This application allows for a remote pathologist to review and navigate high quality images of diagnostic quality using either the cellular network or WIFI networks on the Android device. Using the application rapid specialist referrals can be made, without access to a computer, a microscope or the original specimen. The pathology image can be reviewed by the pathologist and used to provide a diagnosis used in cancer and other disease treatments.

The user is able to enter the address to their own Aperio Spectrum image server so that the images on their server are then displayed.

Important: This application is intended for use by those who have, or intend to buy a supported image server and requires access to one to work. A example link is provided to the Aperio (CA, USA) image server.

【免費醫療App】Interpath-APP點子

免費玩Interpath APP玩免費

免費玩Interpath App

Interpath APP LOGO

Interpath LOGO-APP點子

Interpath APP QRCode

Interpath QRCode-APP點子
熱門國家系統支援版本費用APP評分上架日期更新日期
未知Android
Google Play
1.0.0
App下載
GBP$20.0
1970-01-012015-03-13
シェア記事: