RadX Mobile|醫療線上App不用買

シェア記事:

【免費醫療App】RadX Mobile-APP點子

Radiology technologist’s mobile positioning guide.

【免費醫療App】RadX Mobile-APP點子

✓Complete positioning guide for over 100 exams!

【免費醫療App】RadX Mobile-APP點子

✓Includes customizable technique chart for EVERY exam!

【免費醫療App】RadX Mobile-APP點子

✓Technique charts customizable to patient size and even your location.

【免費醫療App】RadX Mobile-APP點子

✓Easy to read positioning instructions and variables!

【免費醫療App】RadX Mobile-APP點子

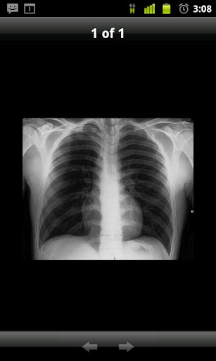
✓Pictures of positioning and and the x-ray itself!

【免費醫療App】RadX Mobile-APP點子

✓Customizable technique Quick Fetch chart for when you only need technique.

【免費醫療App】RadX Mobile-APP點子

✓Customizable series section! Who can really remember every position in a complete bone survey?

✓Customizable hospital extension directory! Look up and DIAL any extension for any hospital department right from your iPhone!

✓New positions added according to your needs! We will add additional exams according to our customers needs. If we get an overwhelming request for a particular exam we will work to add it as soon as possible.

✓Check out our website for additional information.

免費玩RadX Mobile APP玩免費

免費玩RadX Mobile App

RadX Mobile APP LOGO

RadX Mobile LOGO-APP點子

RadX Mobile APP QRCode

RadX Mobile QRCode-APP點子
熱門國家系統支援版本費用APP評分上架日期更新日期
未知Android
Google Play
1.0
App下載
USD$10.0
1970-01-012015-04-22
未知iOS
App Store
1.5.1
App下載
$7.99
2010-06-032015-06-04
美國 (U.S.A)iOS
App Store
1.5.1
App下載
$7.99
2012-03-062014-09-26
シェア記事: